Healthy Smiles of Corry
Rebecca R. Steves
Request an Appointment
Like us on Facebook
Follow us on Twitter
Visit us on Yelp
Leave a Google Review
(814) 664-4011
General and Aesthetic Dentistry
983 N Center St. Corry, PA 16407
Home
About
Our Team
Technology
Office Pictures
Services
View All
Cosmetic Dentistry
Crowns and Bridges
Dental Implants
Dentures and Partials
Digital X-Rays
Extractions
General Dentistry
Periodontal Disease Prevention and Treatment
Root Canal Treatment
Teeth Whitening
Smile Gallery
Reviews
Patient Info
View Patient Info
Forms
FAQs
Join Our Discount Plan
Contact
Healthy Smiles of Corry
>
Smile Gallery
Smile Gallery
Below are some examples of some of our best work!
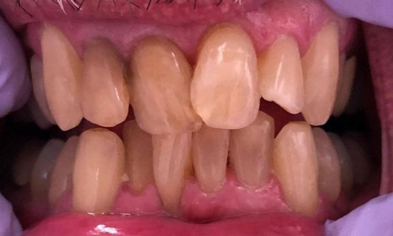
Before
After
Before
After
Replace Bridge
Read More
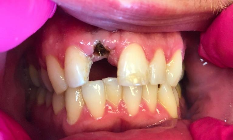
Before
After
Before
After
Anterior Implant
Read More
Before
After
Before
After
Replace Anterior Crowns
Read More
Before
After
Before
After
Anterior Crowns
Read More
Before
After
Bridge
Read More
Before
After
Before
After
Anterior Crowns
Read More
Before
After
Before
After
Anterior Crowns
Read More
Before
After
Anterior Crowns
Read More
Before
After
Veneers
Read More
Load More
Have Questions? Get in Touch
Contact Us
Smile Gallery Categories
Cosmetic Dentistry
Crowns and Bridges
Dental Implants
If you have difficulty using our website, please
email us
or call us at
(814) 664-4011
View the
ADA Accessibility Statement
Turn on ADA Views
Privacy Policy
OK!
×
×
Contact Us Today
Give Us A Call
Healthy Smiles of Corry -
(814) 664-4011
Send Us an Email
Request an Appointment
Contact Us
Ready to Schedule an Appointment?
Book Online
Have Questions? Contact Us:
Required Field
Your Name:
Phone:
Email:
Are you a new patient?:
Are you a?
New Patient
Current Patient
How would you like us to contact you?
Please choose
Email
Call
How did you hear about us?
Please choose
I'm an existing patient
Google/Bing
Mailer
Word of mouth
Social media
Other
Who Referred You?:
Appointment Preferences
Tuesday
Wednesday
Thursday
Friday
Your Message:
This site is protected by reCAPTCHA and the Google
Privacy Policy
and
Terms of Service
apply.
Sending...
×
This Patient's Experience
Loading Testimonial...
Loading Case...